健康宣教

101岁!我院成功为百岁老人行股骨头置换手术。

发布时间:2022年03月31日 浏览:3127次


俗话说:“家有一老,如有一宝”,如果家里有位百岁老人,可是件福气事儿,这不,孔奶奶就是这么一位百岁宝,但前段时间家里人却因为老太太而有点忧心......是怎么一回事呢,跟着“小天使”一起去了解了解吧。

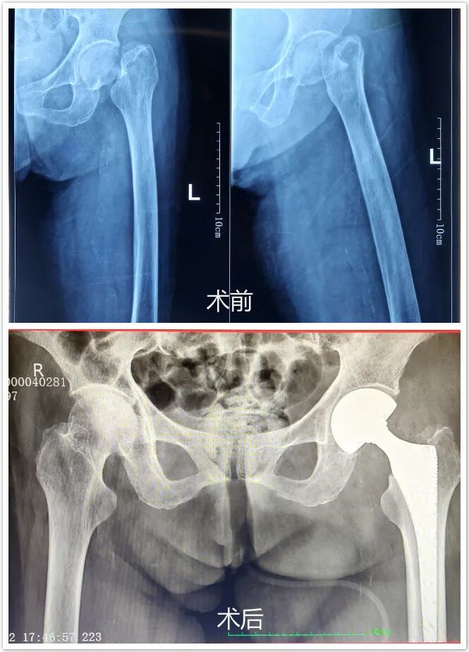
今年是孔奶奶101岁生辰,在这举家欢喜之际,老太太却意外摔了一跤,造成了左侧骨颈骨折(头下型)。

(示意图)

小贴士:

由股骨头下至股骨颈基底部之间的骨折称股骨颈骨折,尤以老年女性较多。由于老年人股骨颈骨质疏松脆弱,且承受应力较大,所以只需很小的旋转外力,就能引起骨折。老年人的股骨颈骨折几乎全由间接暴力引起,主要为外旋暴力,如平地跌倒、下肢突然扭转等皆可引起骨折。少数青壮年的股骨颈骨折,则由强大的直接暴力致伤,如车辆撞击或高处坠落造成骨折,甚至同时有多发性损伤。

家人带着孔奶奶到省内三甲医院住院后,被告知老人岁数高,手术风险太大,无奈之下将老人转自护理院进行牵引治疗,在治疗期间护理院邀请我院医生前去会诊,我院医生根据患者自身实际情况,对患者健康状况做了详细评估过后,建议患者进行手术。

1
优选手术的原因:

保守治疗,一般说的是卧床、牵引固定,等待骨折自己愈合。费用看似低廉,不用开刀出血,感觉上好像很安全,但其实缺点更多:


护理难度大:老年人长期卧床,需要在腿上穿过钢针做牵引,绝对不能下床,大小便也要在床上。每一次挪动身体或者是翻身拍背都会引起骨折部位剧烈的疼痛。对病人和家属都是一种折磨。


卧床时间长一般髋部骨折通常要床边牵引制动 2~3 个月甚至更长,患者常常苦不堪言。


并发症多长期卧床压迫臀部、腰背部会引起局部血供不良,产生褥疮;长期制动会导致肌肉萎缩;肺炎、泌尿道感染等发生率也会大大增加,严重者危及生命。


治疗效果欠佳:少数骨折位置特殊,患者又积极配合的轻度骨折以外,多数患者的骨折容易畸形愈合甚至不愈合,影响以后的生活质量。

术前,科室组织了专科会诊,将术中、术后可能发生的问题及风险做了评估,讨论后主管医生制定了周密的治疗方案,对风险作出了周详的防范措施,并与患者家属进行了沟通,说明虽然年纪大但行股骨头置换手术只要做好术前、术中、术后,严密观察,精心治疗护理就可以取得满意的效果,家属表示理解,并同意手术。


为什么选择股骨头置换而不是打空心钉方式呢?

患者年龄大,头下型骨折不能选择打空心钉方式,因为术后头坏死,骨折不愈合率相当高。

在完善术前准备后,骨科团队为患者实施了股骨头置换术。术中进展顺利,出血少,仅用了四十多分钟就顺利完成。

术后,为避免高龄患者手术后发生脱位、坠床等不良后果,医生和护士每天都会花更多时间和精力关心孔奶奶的身体状况。在家属的配合和医护人员无微不至的关怀下,孔奶奶恢复良好,术后两周,已经可以下床辅助站立,行走。

住院期间正值农历新年,刘文松院长给患者派发利是

孔奶奶借助辅助器站立

术后行走

出院前,家属送来锦旗,表示本以为这么大的年纪,又摔了一跤,以为只能卧床了,没想到现在不仅不用卧床,还能正常行走,十分感谢我院医护人员。

家属送来锦旗




健康小科普



一:老年人要定期监测骨密度,及时采取措施延缓骨质疏松的进展,从根本上加强骨质,预防骨折。预防骨质疏松的基础措施包括合理饮食、药物治疗、适当运动、适当日晒、良好的生活方式等。要在专业医师的指导下科学补钙。

二:坚持规律锻炼。规律锻炼可预防骨量丢失,减轻骨质疏松的程度。

三:老年人要时刻谨记安全,走路、上下台阶时要小心脚下,预防滑倒、摔倒。最后,一旦骨折,应与医生充分沟通,有条件的积极手术治疗,避免长期卧床,预防肺炎、血栓和肌肉萎缩,早期积极行康复功能锻炼。